Lompat ke konten Lompat ke sidebar Lompat ke footer

48+ Pectus Excavatum Chest Divot Images

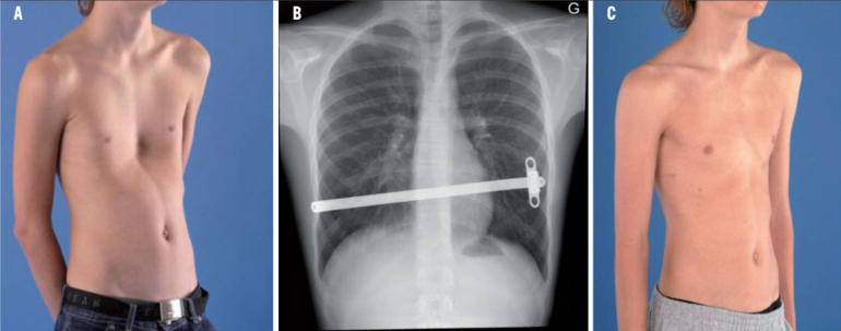
48+ Pectus Excavatum Chest Divot Images. For many people with pectus excavatum, the only sign or symptom is a slight indentation in their chests. If the condition is severe, it can look like the middle of the chest is scooped out, creating a deep hole.

Plastic Surgery Case Study - Custom Chest Wall Implant as ...
Plastic Surgery Case Study - Custom Chest Wall Implant as ... from exploreplasticsurgery.com
Pectus excavatum, or funnel or sunken chest, occurs in both children and adults. If the condition is severe, it can look like the middle of the chest is scooped out, creating a deep hole. This can affect heart and lung function.

If the condition is severe, it can look like the middle of the chest is scooped out, creating a deep hole.

Pectus excavatum is a structural deformity of the anterior thoracic wall in which the sternum and rib cage are shaped abnormally. Its symptoms can affect people physically and psychologically. Pectus excavatum is a structural deformity of the anterior thoracic wall in which the sternum and rib cage are shaped abnormally. The breastbone and rib cage grow pectus excavatum is the main cause of rib flare.

Posting Komentar untuk "48+ Pectus Excavatum Chest Divot Images"